Нейрохирурги Городской клинической больницы Пятигорска спасли 85-летнего мужчину, у которого в голове была опухоль мозга размером с лимон, рассказали в пресс-службе учреждения.
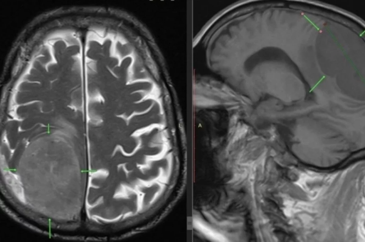
Пациента привезли в больницу с серьезной проблемой: он потерял возможность двигать левой ногой и левой половиной тела. Сначала врачи заподозрили инсульт, но экстренное обследование показало другую причину. Оказалось, что в правой части мозга у пациента росла огромная опухоль размером 8 на 7 сантиметров, которую медики сравнили с лимоном. Именно это новообразование давило на центры, отвечающие за движения левой стороны тела.
Пятигорские нейрохирурги провели сложнейшую операцию по удалению опухоли. Как объяснил один из хирургов, Вадим Зотов, удаление таких крупных новообразований чревато опасными скачками внутричерепного давления, что может привести к смещению жизненно важных центров мозга и серьезным проблемам с сердцем и давлением. Эта операция потребовала максимальной концентрации и тонкой работы не только от хирургов, но и от анестезиолога.
К счастью, все прошло успешно. На контрольных снимках после операции не было обнаружено никаких признаков кровотечения, мозг пациента восстановил нормальную форму и размеры.
Сейчас мужчина идет на поправку. Движения в левой половине тела начали восстанавливаться. Анализ удаленной опухоли подтвердил, что она была доброкачественной.
В больнице Пятигорска отмечают, что нейрохирургия является одним из ведущих направлений их работы. Ежегодно здесь проводят более 400 высокотехнологичных операций, помогая пациентам с самыми разными заболеваниями мозга и позвоночника.
Врачи из КБР оказывают экстренную помощь пострадавшим от атаки ВСУ в Хорлах
Врачи Ингушетии спасли 12-летнюю девочку, которая проглотила иголку
Врачи КБР спасли пациента с редким сочетанием гемофилии и проблем с сердцем
Врачи Чечни успешно разделили сросшиеся пальцы у двухлетнего ребёнка